Содержание:
Долгожданный день настал: ортодонт снимает последние замочки, вы смотрите в зеркало и видите ту самую идеальную улыбку, ради которой прошли долгий путь. Эйфория, радость, желание улыбаться каждому встречному... Но тут врач достает прозрачную каппу или начинает фиксировать на внутренней стороне зубов тонкую, почти незаметную проволочку. И в голове тут же возникает тревожный вопрос: «Что это? И это теперь навсегда?»
Спешим успокоить и настроить на правильный лад: лечение брекетами действительно закончено. Но оно плавно перешло в новый, не менее важный этап — ретенционный период. И от того, насколько ответственно вы к нему отнесетесь, зависит, останутся ли ваши зубы прямыми на всю жизнь или же спустя пару месяцев начнут возвращаться в исходное положение.
В этой статье мы подробно разберем, зачем нужны ретейнеры, сколько их носить и когда (и можно ли вообще) наступает тот момент, когда их можно снять насовсем.
Что такое ретейнеры и зачем они нужны?
Начнем с простого определения. Ретейнер — это ортодонтический аппарат (съемный или несъемный), главная задача которого — удерживать зубы в новом, правильном положении после снятия брекет-системы.
Многие ошибочно полагают: раз брекеты выровняли зубы, значит, проблема решена раз и навсегда. Но давайте разберемся в физиологии процесса.
Представьте, что вы решили выпрямить кривое деревце в саду. Вы привязываете его к прочному колышку и оставляете на год-два. За это время ствол выпрямился. Но если вы тут же уберете колышек, под воздействием внутренних сил роста и ветра деревце очень быстро вернется к привычному искривлению. Чтобы оно осталось прямым, колышек нужно держать еще несколько сезонов, пока ствол не «запомнит» новое положение.
Точно так же работают и наши зубы. Они окружены связками, мышцами и эластичными волокнами, которые годами «помнили» их кривое положение. Брекеты — это тот самый колышек, который насильно удерживает их в новой позиции. Но связочному аппарату нужно время (и очень много времени!), чтобы перестроиться и зафиксировать результат. Если убрать фиксатор (ретейнер) слишком рано, зубы, послушные «мышечной памяти», начнут послушно сползаться обратно. Этот процесс называется рецидивом.
Поэтому ретейнеры — это не прихоть врача, а жизненно важное условие для сохранения вашей красивой улыбки.
Виды ретейнеров: что предлагает ортодонт
Чтобы понимать, о чем идет речь, давайте разберем, какие бывают ретейнеры. Как правило, ортодонт выбирает один из двух типов или их комбинацию.
- Несъемные ретейнеры
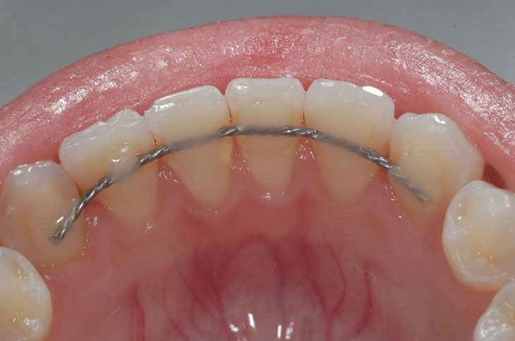
- Что это: Тонкая металлическая дуга (или витая проволочка), которая фиксируется специальным стоматологическим клеем на внутренней (язычной) стороне передних зубов. Обычно — от клыка до клыка. Вы ее не видите в зеркале, и окружающие ее тоже не замечают.
- Плюсы: Работает постоянно, 24/7. Вам не нужно контролировать себя и думать: «А не забыл ли я надеть каппу?». К нему быстро привыкаешь, и через пару недель он ощущается как часть себя.
- Минусы: Требует более тщательной гигиены (под дугой может скапливаться налет), есть риск отклеивания, если грызть твердую пищу (орехи, сухари).
- Съемные ретейнеры
- Что это: Прозрачные каппы, изготовленные из тонкого, но прочного медицинского пластика по индивидуальным слепкам ваших новых ровных зубов. Они плотно облегают зубные ряды.
- Плюсы: Их легко снимать для еды и чистки зубов, а значит, гигиена не страдает. В них комфортно спать.
- Минусы: Требуют железной самодисциплины. Если вы решите «пропустить ночку-другую», зубы могут отреагировать микросмещениями. Забыл надеть на неделю — получил заметный шаг назад.
Часто ортодонты используют комбинированный подход: на нижнюю челюсть ставят несъемный ретейнер (так как нижние зубы больше всего склонны к скученности), а на верхнюю выдают съемную каппу для ночного ношения.
Главный вопрос: СКОЛЬКО НОСИТЬ?
Это самый волнующий вопрос. И ответ на него не может быть однозначным в виде одной цифры, потому что сроки зависят от исходной сложности ситуации, возраста пациента и типа ретейнера. Но есть четкая градация этапов.
Этап 1. Обязательный режим полного дня (первые 3–6 месяцев)
Сразу после снятия брекетов зубы наиболее подвижны. Связки вокруг них находятся в состоянии стресса и «не понимают», в каком положении им теперь нужно находиться. В этот период фиксация должна быть максимальной.
- Режим для съемных ретейнеров: Вы носите их 24 часа в сутки, снимая только для того, чтобы поесть и почистить зубы. Это самый строгий, но самый важный этап.
- Режим для несъемных: Они работают автоматически.
Этот этап длится в среднем от 3 до 6 месяцев. Иногда врач может продлить его до года, если случай был сложным.
Этап 2. Переход на ночной режим (следующие 1–2 года)
Когда врач убедится, что первичная стабилизация прошла успешно, он разрешит вам снимать каппу днем. Теперь вы переходите на более щадящий график.
- Режим: Вы надеваете съемные ретейнеры только на ночь (или на 10–12 часов в сутки). Это так называемый «режим поддержания».
- Несъемные: Продолжают работать в том же режиме, обеспечивая вам спокойный сон без каппы (если она у вас есть для другой челюсти).
Этап 3. Долгосрочная перспектива (Итоговые сроки)
И тут мы подходим к самому главному. В ортодонтии есть негласное, но очень точное правило: ретенционный период должен длиться минимум в два раза дольше, чем период активного лечения брекетами.
- Пример: Если вы носили брекеты 1,5 года, то ретейнеры нужно носить минимум 3 года. Если 2,5 года — то 5 лет. Но это минимальный срок!
Что говорят ортодонты в реальности?
Опытные врачи честно предупреждают пациентов: несъемные ретейнеры лучше носить постоянно, то есть пожизненно. Проволочка на нижних зубах настолько тонкая и незаметная, что не доставляет дискомфорта, зато дает 100% гарантию, что передний отдел не скучится.
Что касается съемных капп, то их рекомендуется надевать на ночь как можно дольше. Даже через 5, 10 и 15 лет после лечения. Конечно, со временем частоту можно снизить до 2–3 раз в неделю, но полностью отказываться от ночного контроля не стоит. Почему? Потому что с возрастом, под воздействием зубов мудрости, стираемости эмали или гормональных изменений, зубы все равно могут медленно смещаться. Ретейнеры — это ваша страховка от таких сюрпризов.
Что будет, если снять ретейнеры слишком рано?
Ответ неутешителен: рецидив. Зубы начнут возвращаться в исходное кривое положение.
- Скорость процесса: У всех по-разному. У кого-то зубы «разбегаются» обратно за пару месяцев, у кого-то процесс растягивается на годы, но он неизбежен.
- Статистика: По данным исследований, без ретенции вероятность рецидива после ортодонтического лечения стремится к 90% .
Итог печален: все ваши усилия, потраченные годы (а часто и немалые деньги) на брекеты, пойдут насмарку. Вам снова придется носить конструкции во рту, а повторное лечение (если оно вообще возможно без хирургического вмешательства) всегда сложнее и дороже первого.
Как ухаживать за зубами с ретейнерами
Чтобы ретейнеры служили долго и не навредили здоровью, за ними нужно правильно ухаживать.
Для несъемных ретейнеров:
- Купите ершики. Обычная зубная щетка не может вычистить налет из-под дуги. Ершиком нужно проходить вдоль проволочки каждый вечер.
- Используйте ирригатор. Это лучший друг любого, у кого есть несъемные конструкции. Струя воды вымывает остатки пищи из самых труднодоступных мест.
- Тщательно чистите зубы пастой, чтобы в месте фиксации ретейнера не образовался кариес.
- Чистите каппу каждый день мягкой зубной щеткой с мылом или специальными таблетками для очистки протезов (например, Corega).
- Храните каппу в контейнере, не заворачивайте в салфетку (ее могут выбросить).
- Не мойте горячей водой, чтобы пластик не деформировался.
- Регулярные визиты: Обязательно посещайте ортодонта раз в полгода для контроля. Врач проверит, цел ли несъемный ретейнер, не отклеился ли где-то, и оценит состояние прикуса.
Часто задаваемые вопросы (FAQ)
Можно ли пить кофе или чай в съемных ретейнерах?
Нет. Красящие напитки окрасят прозрачный пластик, и он станет неэстетичным.
Что делать, если отклеился несъемный ретейнер?
Срочно записываться к врачу! Не ждите неделями. За несколько дней без фиксации зубы могут начать двигаться, и поставить ретейнер на место без повторного лечения будет уже нельзя.
Больно ли носить ретейнеры?
Может быть небольшой дискомфорт или чувство распирания в первые 2–3 дня после фиксации или перехода на ночной режим. Это нормально, скоро пройдет. Привыкание наступает очень быстро.
Влияют ли зубы мудрости на рецидив, если я ношу ретейнеры?
Да, могут. Растущие «восьмерки» создают давление на зубной ряд. Даже при ношении ретейнеров это давление может вызвать скученность передних зубов. Поэтому зубы мудрости часто рекомендуют удалять ДО или СРАЗУ ПОСЛЕ лечения брекетами.
Что делать, если потерял или сломал каппу?
Срочно обратиться к ортодонту! Чем дольше вы ходите без каппы, тем выше риск смещения. Врач снимет новый слепок и изготовит новую каппу (обычно за несколько дней).
Заключение
Красивая улыбка — это результат не только работы брекет-системы, но и вашей дисциплины в ретенционном периоде. Ретейнеры — это не наказание и не продолжение мучений. Это ваша личная страховка инвестиций в собственную красоту и здоровье.
Относитесь к ним как к необходимому финальному штриху. Да, возможно, придется смириться с мыслью, что проволочка на нижних зубах останется с вами навсегда, а каппу на верхнюю челюсть придется надевать на ночь много лет. Но поверьте, глядя в зеркало на свою ровную, голливудскую улыбку, вы поймете, что это была совсем небольшая плата за тот результат, который вы получили.
Главный совет: четко следуйте рекомендациям вашего лечащего врача-ортодонта. Только он знает все нюансы именно вашего прикуса и может сказать, какой режим ношения будет оптимальным лично для вас. Берегите свою улыбку!
